KUNSTHERZKUNST
Galerie Walker, Schloss Eberndorf

Galerie Judith Walker, Schloss Eberndorf, Kärnten

Gruppenausstellung
10. Juni bis 17. September 2001

Melitta Moschik HUMAN INTERFACE 2001

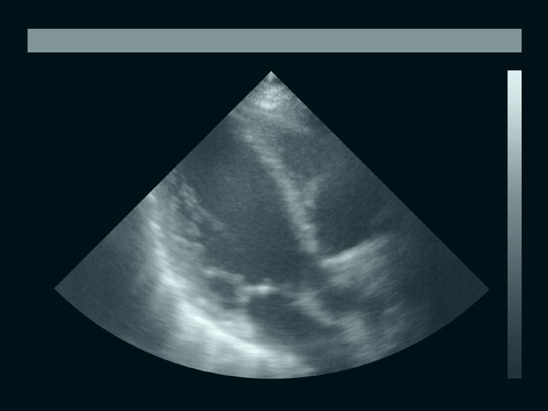
Die Installation HUMAN INTERFACE zeigt bewegte und unbewegte Bilder des Kommunikationssystems HERZ.

HUMAN INTERFACE visualisiert die Benutzeroberfläche der sonographischen Aufnahme meines Herzens in Frontal- und Seitenansicht mit geöffneter und geschlossener Herzklappenposition. Der Prozess der Mustererkennung, ein für die medizinische Diagnostik elementares visuelles Verfahren wird in den Bereich der Kunst verlagert. Das für die Sonographie signifikante kreissegmentförmige Sichtfenster gewährt dem Betrachter Einblick in die Kommunikationsprozesse und Informationsflüsse des menschlichen Körpers.

Teil II: HUMAN INTERFACE, Laptop- Installation mit Endlos- Movie

Das Movie HUMAN INTERFACE zeigt die pulsierende Bewegung des schlagenden Herzens. Das Öffnen und Schließen der Herzklappen demonstriert die enorme Dynamik des menschlichen Organismus.

HUMAN INTERFACE- ein Versuch mit digitalen Methoden der Faszination des Herzens näherzukommen.

Wandinstallation/Teilansicht

Melitta Moschik HUMAN INTERFACE 2001
4 teilige Wandinstallation, 320 x 60 cm
Sono-/Computergrafische Filme in schwarzen Alu- Kasten

Herz-Frontalansicht

Melitta Moschik HUMAN INTERFACE 2001
Sono-/Computergrafischer Film
je 60 x 80 x 12 cm

Herz-Seitenansicht

Melitta Moschik HUMAN INTERFACE 2001
Sono-/Computergrafischer Film
je 60 x 80 x 12 cm

Human Interface-Teilansicht

Melitta Moschik HUMAN INTERFACE 2001
Teilansicht – Wandinstallation
Alu-Rahmen, 60 x 80 x 12 cm

Laptop-Movie

Melitta Moschik HUMAN INTERFACE 2001
Herz-Movie auf Laptop